Orthodontics Braces Dental clinic Doha Qatar
Orthodontic clinic at Al Hayat Medical Center in Qatar
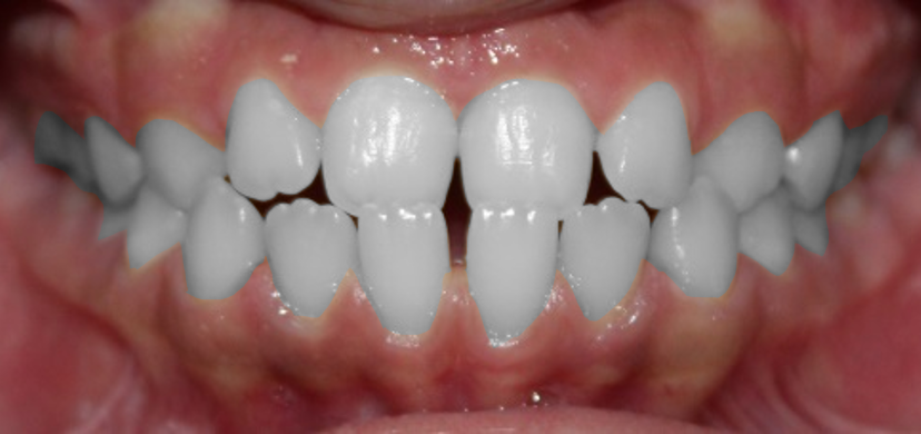
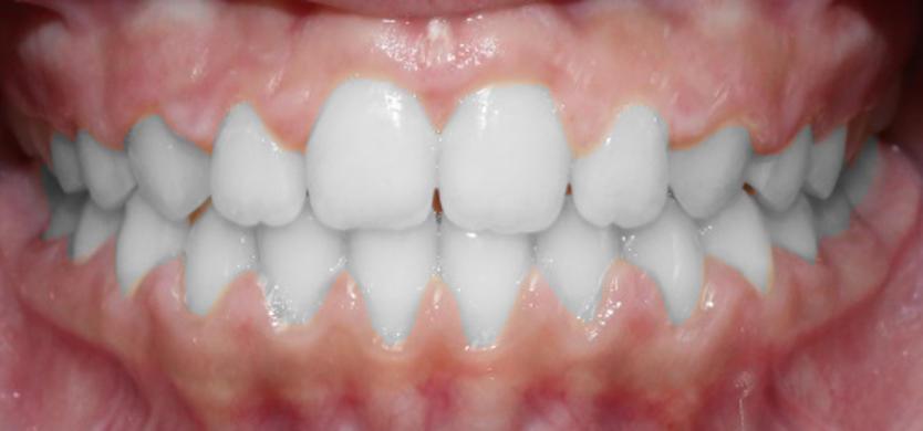
Your smile is your key to all hearts. What about the alignment of your shiny teeth? Your smile would become more charming?
Therefore, we added the orthodontic clinic services to our center in Doha, Qatar, to be the best orthodontic clinic in Qatar attracting one of the best orthodontic specialists in Qatar, Dr. Omar Ismail, who holds a Bachelor’s degree in Dentistry and Surgery, a Master’s degree in Orthodontics (University of Dundee, UK), and the British Fellowship in Orthodontics. We are always keen to provide the latest orthodontic techniques in Qatar, and provide our patients with many treatment options.
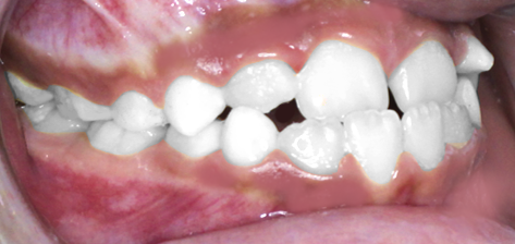
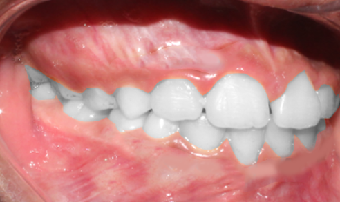
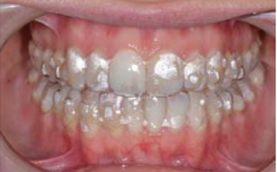
The clinic specializes in treating teeth position problems, correcting the connection of the jaws to give the perfect smile, and getting rid of difficulty in chewing and eating, as well as speech problems. This is done using regular (metal) braces, clear (ceramic) braces, and clear trays (Invisalign).
With the best orthodontic clinic in Qatar, you can now get your dream smile!
Clinic serveces
- Instruction related to orthodontics: providing a sufficient explanation of the condition, the different methods of treatment , and the different types of orthodontic devices.
- Instruction regarding the care of orthodontic appliances: Training patients on how to handle orthodontic appliances.
- Fitting and activating orthodontic appliances: metal, ceramic, clear trays, jaw expanders, and removable orthodontic appliances.
- Instruction related to oral and dental care during orthodontic treatment: Giving advice to patients on how to clean orthodontic appliances and maintain oral and dental health.
- Periodic follow-up and evaluation of the mouth health.
-
Relieving of dental crowding: Dental crowding occurs when the size of teeth are larger than the size of arch, causing misalignment of the teeth.
- Closing spaces between the teeth: Teeth spacing occurs when the size of teeth are smaller than the size of arch with no missing teeth, causing gaps between the teeth.
- Closing Median Diastema: Median Diastema refers to a gap between two front teeth, which is a normal feature of the mixed dentition ; however, it is considered abnormal feature if it persists after erupting of permanent canines.
- Alignment of ectopic eruption teeth: Ectopic eruption of teeth: Teeth that emerge in an unusual orientation or location.
- Alignment of Displaced teeth: Displaced teeth: Teeth move to abnormal position.
-
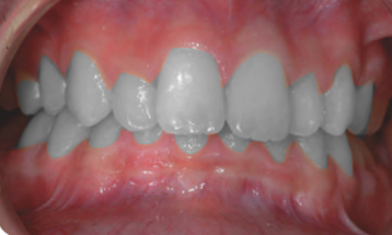
Treatment of open bite cases: Open bite is a gap between upper and lower teeth when the jaws are closed.
-
Treatment of Deep bite cases: Deep bite is abnormal occlusion when the upper front teeth overlap more than the 50% of lower front teeth vertically.
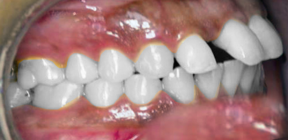
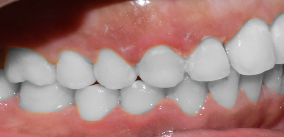
- Treatment of arch protrusion: Arch protrusion a malocclusion that causes the teeth and/or jaw to protrude from the opposing teeth and/or jaw excessively.
- Treatment of arch retrusion: Aarch retrusion a malocclusion that causes the teeth and/or jaw to retruded from the opposing teeth and/or jaw excessively.
-
Correcting Crossbite: Crossbite :The upper teeth occlude inside the lower teeth.
-
Treatment of missing teeth: when teeth are congenitally missing or previously extracted , these cases can be managed by either orthodontic space closure or space opening followed by prosthetic replacements.
-
Surgical orthodontic cases: Orthodontic treatment and surgical intervension are necessary to correct deformities of the jaw and the associated malocclusion.
- Orthodontic traction of impacted teeth and aligning them: Orthodontic traction after surgical exposure of the impacted tooth will direct and align the teeth in the arch.
-
Bonding permanent retainers: A wire bonded to internal surfaces teeth to keeps the teeth in a fixed position.
-
Adjustment of removable appliances.
- Adjustment of jaw growth devices.
-
Orthodontic Aligners.









































